Prof. Lipton: Kobiety stosujące pigułki antykoncepcyjne mają mniejszą objętość istotnego rejonu mózgu

Kobiety stosujące pigułkę antykoncepcyjną mają mniejszą objętość istotnego rejonu mózgu - poinformował prof. Michael L. Lipton, radiolog z Gruss Magnetic Resonance Research Center przy Albert Einstein College of Medicine i dyrektor medyczny laboratorium rezonansu magnetycznego przy Montefiore Medical Center w Nowym Jorku.

Jarosław Dudała Jarosław Dudała

|

05.12.2019 09:38 GOSC.PL

dodane 05.12.2019 09:38
0

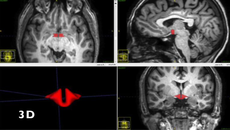
Chodzi o podwzgórze, które odpowiada m.in. za hormonalną regulację temperatury ciała, tętna, nastroju, apetytu, popędu seksualnego i snu - podał serwis Towarzystwa Radiologicznego  Północnej Ameryki (rsna.org).

Badania przeprowadzono na grupie 50 zdrowych kobiet, z których 21 używało doustnej antykoncepcji. Badano je za pomocą magnetycznego rezonansu jądrowego (MRI) oraz nowych, opracowanych przez autorów metod analizy obrazu.

- Odkryliśmy dramatyczne różnice objętości tej struktury mózgu między kobietami, które stosują pigułkę antykoncepcyjną i tymi, które jej nie zażywają - stwierdził prof. Lipton. Zmiany te mogą mieć znaczenie dla kontroli emocji i pojawiania się objawów depresji.

Prof. Lipton zastrzega, że sprawa wymaga dalszych badań.

1 / 1

Jarosław Dudała Jarosław Dudała Dziennikarz, prawnik, redaktor portalu „Gościa Niedzielnego”. Były korespondent Katolickiej Agencji Informacyjnej w Katowicach. Współpracował m.in. z Radiem Watykańskim i Telewizją Polską. Od roku 2006 pracuje w „Gościu”.

Zapisane na później

Pobieranie listy